Descubre la evolución de la ortodoncia con Diligence Plus. Ortodoncia sin Brackets, ortodoncia digital invisible asistida por computador

Alineadores Transparentes

Transforma tu experiencia de ortodoncia tradicional por nuestra solución de vanguardia. Nuestra tecnología revolucionaria te ofrece la forma discreta y eficaz de corregir la alineación de tus dientes.
La alineación de tus dientes de manera invisible, se basa en alineadores removibles personalizados diseñados exclusivamente para ti. Estos alineadores se cambian regularmente, aproximadamente cada dos semanas, permitiendo un desplazamiento dental controlado y gradual. 
De esta manera, lograrás una mejora efectiva y cómoda en la alineación de tus dientes, obteniendo la sonrisa ideal que tanto deseas.

Sonrie con confianza en solo 3 pasos

1. Escaneamos la boca del paciente

2. Realizamos un plan de tratamiento estimado

3. Entregamos sus alineadores

Maloclusiones

¿Qué podemos tratar?

Corregimos maloclusiones como apiñamiento, espacios entre los dientes, sobremordida y mordida cruzada. Nuestros alineadores personalizados te brindan una solución discreta y efectiva para lograr una sonrisa alineada y radiante

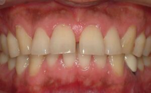
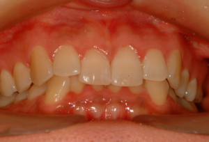
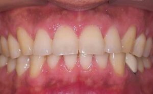
Casos antes y despues

Carrito de compra